ヘルプ
プライバシーポリシー
動作確認環境
利用規約
動画11-1 頸静脈の動画
2025-11-27
00:00:20
公開期間:2029-04-01 00:00:00まで
お気に入り登録
関連動画
動画12-1 心拍動①
00:00:12
動画13-1 心尖部の聴診音と心音図
00:00:14
動画20-1 心エコー①(胸骨左縁長軸像)...
00:00:02
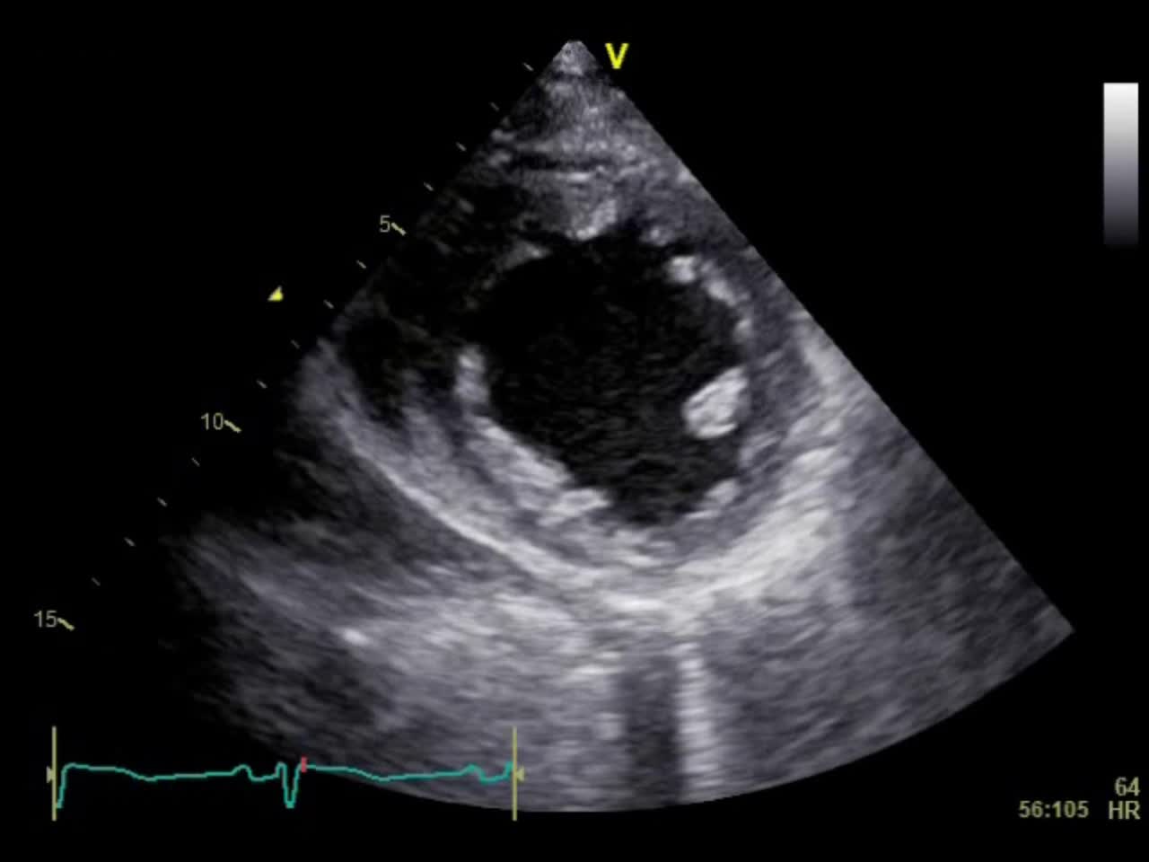
動画21-1 心エコー①(胸骨左縁短軸像)...
00:00:05